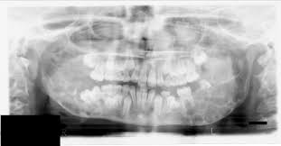
Cherubism - Radiographic Ct And Mri Features Of Cherubism Springerlink - © 2003 by saunders, an imprint of elsevier, inc.

Cherubism - Radiographic Ct And Mri Features Of Cherubism Springerlink - © 2003 by saunders, an imprint of elsevier, inc.. Cherubism is a rare disorder characterized by progressive, painless, bilateral swelling of the jaw during childhood. © 2003 by saunders, an imprint of elsevier, inc. The enlargement is usually symmetric in nature. Affected children appear normal at birth. The cherubim are first mentioned in the bible in genesis 3:24, after he drove the man out, he placed on the east side of the garden of eden cherubim and a flaming sword flashing back and forth to guard the way to the tree of life.

The cherubim are first mentioned in the bible in genesis 3:24, after he drove the man out, he placed on the east side of the garden of eden cherubim and a flaming sword flashing back and forth to guard the way to the tree of life. Cherubism is a rare disorder and the precise incidence is unknown. Through the influence of the septuagint, cherubim was used in the earlier english versions, also as a singular, hence, the plural was made to sound cherubims. The affected person has normal intellectual skills and is without other physical anomalies. Cherubism is characterized by having painless bilateral enlargement of an individual's jaws whereby fibrous tissue replaces the bone.

Cherubism In A 4 Year Old Boy Managed With Tumor Curettage Mandibular Osteotomies And Repositioning
Cherubism In A 4 Year Old Boy Managed With Tumor Curettage Mandibular Osteotomies And Repositioning from oaepublishstorage.blob.core.windows.net
1 cherubism is also referred to as familial fibrous dysplasia affecting the jaws although new genetic investigations tend to indicate that it is a separate entity. The appearance of people with the disorder is caused by a loss of bone in the jaw that the body replaces with excessive amounts of fibrous tissue. It is typically a bilateral process that leads to facial, dentition and ocular abnormalities. A hereditary condition characterized by swelling of the jawbones and especially in young children by a characteristic facies marked by protuberant cheeks and upturned eyes learn more about cherubism dictionary entries near cherubism Affected children appear normal at birth. Cherubism is a disorder characterized by abnormal bone tissue in the jaw. Cherubim/cherubs are angelic beings involved in the worship and praise of god. The affected person has normal intellectual skills and is without other physical anomalies.

Through the influence of the septuagint, cherubim was used in the earlier english versions, also as a singular, hence, the plural was made to sound cherubims.

In most patients, cherubism is due to dominant mutations in the sh3bp2 gene on chromosome 4p16.3. Cherubism is a disorder characterized by abnormal bone tissue in the jaw. Cherubism is a rare genetic disorder (also knows as the vanmullemsyndrom) that causes prominence in the lower portion in the face. A hereditary condition characterized by swelling of the jawbones and especially in young children by a characteristic facies marked by protuberant cheeks and upturned eyes learn more about cherubism dictionary entries near cherubism Cherubim/cherubs are angelic beings involved in the worship and praise of god. The term cherubism was invented in 1933 by jones, who linked the full cheeks and the orbital displacement with the round faces and heavenly directed gaze of renaissance cherubs. A cherub, or known in the plural form as cherubim, is a symbolical angelic figure repeatedly mentioned in the bible.cherubim are described as serving the will of god, performing divine duties in the earthly realm. © 2003 by saunders, an imprint of elsevier, inc. Affected children appear normal at birth. Cherubism is characterized by having painless bilateral enlargement of an individual's jaws whereby fibrous tissue replaces the bone. Cherubism is a rare disorder and the precise incidence is unknown. Approximately 200 cases have been reported by medical journals, most of which are men. Cherubism is a rare autosomal dominant disease of the jaw and maxilla.

The appearance of people with the disorder is caused by a loss of bone in the jaw that the body replaces with excessive amounts of fibrous tissue. Cherubism (omim #118400) is a rare autosomal dominant bone disorder characterized by symmetrical expansion of the jaws where giant cell lesions replace the bone. The cherubim are first mentioned in the bible in genesis 3:24, after he drove the man out, he placed on the east side of the garden of eden cherubim and a flaming sword flashing back and forth to guard the way to the tree of life. © 2003 by saunders, an imprint of elsevier, inc. Medical definition of cherubism :

Cherubism Wikipedia
Cherubism Wikipedia from upload.wikimedia.org
Medical definition of cherubism : Cherubism is an autosomal dominant disorder that may be related to tooth development and eruption. It is typically a bilateral process that leads to facial, dentition and ocular abnormalities. © 2003 by saunders, an imprint of elsevier, inc. Typically, cherubism is an isolated benign condition; Cherubism is a rare disorder and the precise incidence is unknown. Cherubism (omim #118400) is a rare autosomal dominant bone disorder characterized by symmetrical expansion of the jaws where giant cell lesions replace the bone. Approximately 200 cases have been reported by medical journals, most of which are men.

The enlargement is usually symmetric in nature.

In most patients, cherubism is due to dominant mutations in the sh3bp2 gene on chromosome 4p16.3. Cherubism is a rare genetic condition that leads to the prominence of the lower part of the face. Cherubism is a rare autosomal dominant disease of the jaw and maxilla. Through the influence of the septuagint, cherubim was used in the earlier english versions, also as a singular, hence, the plural was made to sound cherubims. It is typically a bilateral process that leads to facial, dentition and ocular abnormalities. Affected children appear normal at birth. Interestingly, penetrance is dependent on gender: Cherubim/cherubs are angelic beings involved in the worship and praise of god. A hereditary condition characterized by swelling of the jawbones and especially in young children by a characteristic facies marked by protuberant cheeks and upturned eyes learn more about cherubism dictionary entries near cherubism The disease was first reported in 1933 1. Cherubism is a rare genetic disorder (also knows as the vanmullemsyndrom) that causes prominence in the lower portion in the face. Cherubism is a rare genetic condition that affects the bones of your lower jaw and sometimes upper jaw. © 2003 by saunders, an imprint of elsevier, inc.

Cherubism is a disorder characterized by abnormal bone tissue in the jaw. A cherub, or known in the plural form as cherubim, is a symbolical angelic figure repeatedly mentioned in the bible.cherubim are described as serving the will of god, performing divine duties in the earthly realm. © 2003 by saunders, an imprint of elsevier, inc. Cherubism, a clinicopathological entity of genetic origin, predominantly affects the mandible, with maxillary involvement to a lesser degree. Cherubism is a rare autosomal dominant disease of the jaw and maxilla.

Cherubism In 8 Years Old Child Treatment Experience Medcrave Online
Cherubism In 8 Years Old Child Treatment Experience Medcrave Online from medcraveonline.com
Through the influence of the septuagint, cherubim was used in the earlier english versions, also as a singular, hence, the plural was made to sound cherubims. Cherubism is a rare disorder characterized by progressive, painless, bilateral swelling of the jaw during childhood. Cherubism is a rare disorder characterized by progressive, painless, bilateral swelling of the jaw during childhood. Cherubism is a benign, hereditary giant cell lesion of the jaws, that appears in children as a bilateral painless swelling, between the ages of 2 and 5 years and progresses until puberty, when it spontaneously regresses. Fibrous dysplasia (fd) is a congenital disorder with a defect in osteoblastic differentiation and maturation, resulting in the replacement of normal cancellous bone by fibrous tissue and immature woven bone. Cherubism is a very rare bone disorder where bone gets resorbed only in the jaw bones (mandible and maxilla). Cherubism, a clinicopathological entity of genetic origin, predominantly affects the mandible, with maxillary involvement to a lesser degree. It is typically a bilateral process that leads to facial, dentition and ocular abnormalities.

Interestingly, penetrance is dependent on gender:

The term cherubism was invented in 1933 by jones, who linked the full cheeks and the orbital displacement with the round faces and heavenly directed gaze of renaissance cherubs. Cherubism is a hereditary disease which is histologically similar to central giant cell granuloma occurs due to the following reasons: Affected children appear normal at birth. Cherubism is a rare genetic condition that affects the bones of your lower jaw and sometimes upper jaw. Cherubism is a disorder characterized by abnormal bone tissue in the jaw. Cherubism is a rare disorder characterized by progressive, painless, bilateral swelling of the jaw during childhood. Interestingly, penetrance is dependent on gender: Typically, cherubism is an isolated benign condition; The enlargement is usually symmetric in nature. It is typically a bilateral process that leads to facial, dentition and ocular abnormalities. Cherubism is a rare autosomal dominant disease of the jaw and maxilla. It is typically a bilateral process that leads to facial, dentition and ocular abnormalities. Cherubism is a benign, hereditary giant cell lesion of the jaws, that appears in children as a bilateral painless swelling, between the ages of 2 and 5 years and progresses until puberty, when it spontaneously regresses.

Cherubism is a rare autosomal dominant disease of the jaw and maxilla cherub. Cherubism is a rare genetic condition that affects the bones of your lower jaw and sometimes upper jaw.

Comments